メニュー

腎臓・高血圧内科

さらに詳しく
紫斑病性腎炎(IgA血管炎、シェーライン・ヘノッホ紫斑病)

紫斑病性腎炎(IgA血管炎、シェーライン・ヘノッホ紫斑病)

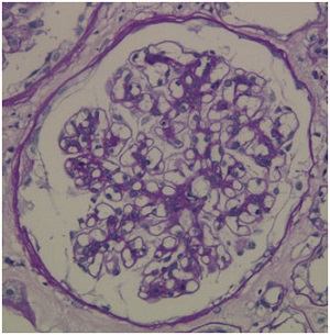
 IgA血管炎に伴う腎炎です。血尿、蛋白尿を伴います。IgA血管炎の症状は、紫斑が必ず出現し、腹痛や関節痛を伴うことがあります。診断には腎生検が必要ですが、組織は、IgA腎症と同様の所見を呈します。腎外症状である、紫斑や腹痛などの所見を合わせて診断します。治療としては、副腎皮質ステロイド剤を使用することが多いです。

症状

 紫斑を必ず認めます。腹痛、関節痛を認めること多いです。

検査所見

 血尿・蛋白尿を認めます。IgAが高値のこともあります。第13因子の低下を認めることもあります。

診断

 紫斑、腹痛、関節痛の症状があり、血尿・蛋白尿を伴っていた場合に腎生検を行います。組織所見はIgA腎症と全く同じ所見を呈します。IgA腎症とは、腎臓以外の病変の有無で鑑別します。

治療

 自然寛解することもありますが、軽症の場合を除き、副腎皮質ステロイド剤による治療を行うことが多いです。

 

最終更新日:2024年01月10日

設定メニュー