腎臓・高血圧内科
さらに詳しく
ネフローゼ症候群
ネフローゼ症候群
尿から蛋白が多量に漏れ、低蛋白血症が引き起こされる病態です。浮腫が出現することが多いです。糖尿病などの原因が明らかなもの以外は、腎生検で確定診断をする必要となることがほとんどです。
ネフローゼ症候群診断基準(エビデンスに基づくネフローゼ症候群診療ガイドライン 2020)

ネフローゼ症候群を呈する疾患(エビデンスに基づくネフローゼ症候群診療ガイドライン 2020)

一次性ネフローゼの検査所見(エビデンスに基づくネフローゼ症候群診療ガイドライン 2020)

二次性ネフローゼ症候群の追加検査所見(ネフローゼ症候群診療ガイドライン 2014)

ネフローゼ症候群の病型分類 |
一次性ネフローゼ症候群の病型分類 |
![]() |
![]() |
ネフローゼ症候群の年齢別の病因分類(ネフローゼ症候群診療指針 2012)

一次性ネフローゼ症候群の年齢別の病型分類(ネフローゼ症候群診療指針 2012)

診断
糖尿病などのはっきりとした病態がない限り、腎生検を行い、診断します。この中で、代表的な疾患である、微小変化型ネフローゼ症候群、膜性腎症、巣状分節性糸球体硬化症を中心に話します。
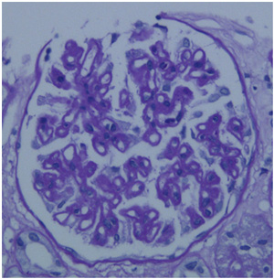
微小変化型ネフローゼ症候群
ネフローゼ症候群を呈するが、病理組織学的にほとんど変化がないものを、微小変化型ネフローゼ症候群といいます。病因は諸説言われておりますが、不明なことがほとんどです。比較的若年者に多いですが、全年齢層にわたり、発症することがあります。発症は比較的急速で、浮腫を伴い、多量の尿蛋白と顕著な低アルブミン血症を伴います。副腎皮質ステロイド剤にて治療を開始しますが、効果不十分な症例、再発症例などは免疫抑制剤を併用することがあります。最近、小児発症の難治性ネフローゼ症候群に対し、リツキシマブの投与が可能となりました。
微小変化型ネフローゼ症候群の治療アルゴリズム(エビデンスに基づくネフローゼ症候群診療ガイドライン2020)

巣状分節性糸球体硬化症
ネフローゼ症候群を呈することが多く、組織学的に巣状分節性の硬化を認める疾患です。病因は諸説ありますが、不明なことが多いです。全年齢層に発症します。治療は副腎皮質ステロイド剤を使用することが多く、難治例や再発例は免疫抑制剤を併用することがあります。
巣状分節性糸球体硬化症の治療アルゴリズム(エビデンスに基づくネフローゼ症候群診療ガイドライン2020)

腎生存率(ネフローゼ症候群診療指針2012)

膜性腎症
組織にて腎糸球体毛細血管壁に免疫複合体が沈着する疾患です。病因は不明のことが多いですが、約10-20%程度に悪性腫瘍、薬物、膠原病などの二次性が含まれます。年齢層は比較的高齢に多いですが、全年齢層に発症します。発症は比較的緩徐であり、浮腫を認めることがあります。尿所見も尿蛋白・尿潜血陽性ですが、尿蛋白中心で、尿潜血は軽度であることが多いです。低アルブミン血症を認めることがあります。治療は二次性の場合は原疾患の治療となります。原発性の場合は非ネフローゼ症候群では、安静と塩分制限にて軽快することもあります。ネフローゼ症候群を呈した場合は、副腎皮質ステロイド剤を使用します。難治例には、治療早期より免疫抑制剤を併用することも多いです。
膜性腎症の治療アルゴリズム(エビデンスに基づくネフローゼ症候群診療ガイドライン2020)

腎生存率(ネフローゼ症候群診療指針2012)

最終更新日:2024年01月10日

